咬合矫正

有种牙齿错合,叫作,我不愿吃面条

发布日期:2017-08-09 来源:齐美矫正官网 点击:66次

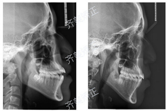
牙齿问题:牙齿错合

治疗周期:1年半多

矫正方式:主流矫正

你也许不知道:

牙齿的状况直接影响了你的饮食习惯。

有些人不吃菠萝,因为牙本质敏感,一吃就酸。

有些人不吃坚果,应为后牙有蛀洞,一吃就痛。

今天说的这种类型,叫作,我不愿吃面条,我不会嗑瓜子。因为我的前牙没功能。

这就是开合!

 
 




 
    我一直非常喜欢正畸医师这门职业。
    当这个孩子说,“我终于可以嗑瓜子了,我之前从来不吃瓜子的,其实它满好吃的。”
    说这话时,他眼里全是满足感。
    哇!
    我感觉我们齐美几十号人的努力没有白费。
了解更多 在线客服
静安门诊:上海市南京西路1468号中欣大厦22楼
花木门诊:上海市浦东新区花木路1731号
大悦城门诊:上海市西藏北路199号光明地产大厦6楼
徐汇门诊:上海市桂林路402号76幢诚达创意产业园106号
民生门诊:上海市浦东新区张杨路1649-1665号底层101室
无锡恒隆广场门诊:无锡市梁溪区人民中路139号恒隆广场商场4楼
无锡海岸城门诊:无锡市滨湖区玉兰西花园51-3、4号
Copyright © 2014 版权所有:齐美口腔门诊部
沪卫(中医)网变更(2015)第10155号 沪ICP备16011708号-1   沪公网安备 31010602000535号
主页电话咨询预约路线